Keuhkosyöpään sairastunut nainen kieltäytyi perinteisistä hoitomuodoista ja päätti alkaa sukulaisen suosituksesta käyttää CBD- eli kannabisöljyä. BMJ Case Reports -julkaisussa brittilääkärit raportoivat, miten tämän elämäntapamuutoksen jälkeen kasvain alkoi kutistua.
Kahdeksankymppisellä brittinaisella diagnosoitiin keuhkosyöpä vuonna 2018, kun hän hakeutui tutkimuksiin pitkittyneen yskän vuoksi. Vakava sairaus ei saanut tupakoivaa potilasta tumppaamaan eikä hän ollut myöskään kiinnostunut kokeilemaan tavanomaisia hoitoja – leikkausta, solunsalpaajia ja sädehoitoa.
Raportin mukaan nainen oli huolissaan leikkauksen riskeistä ja sädehoidon sivuvaikutuksista. Lääkärin neuvojen sijaan hän päätti tarttua sukulaisensa ehdotukseen ja alkaa käyttää CBD-öljyä.
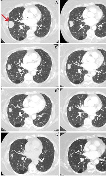
Potilaan tilannetta seuraavat lääkärit eivät tienneet asiasta, mutta yllätyksekseen he havaitsivat, että kasvain alkoi kutistua. Nainen paljasti lääkäreille vuonna 2019, että hän oli aloittanut CBD-öljyn käytön pian diagnoosinsa jälkeen. Helmikuuhun 2021 mennessä syöpäkasvain oli kutistunut yli kolme senttiä eli neljännekseen alkuperäisestä koostaan. Ainoa naisen tekemä elämäntapamuutos oli CBD-öljyn käytön aloittaminen.
Lääkäreiden mukaan ilman hoitoa keuhkosyöpään sairastunut kuolee yleensä alle vuoden sisällä diagnoosista. Tiimi vahvistaa MailOnline-verkkolehdelle, että potilas on edelleen lääkärien seurannassa ja kasvaimen tila on vakaa.

